General Dentistry
虫歯治療
虫歯とは?
お口の中の細菌が作り出す酸によって、大切な歯が溶かされてしまう病気が虫歯です。
こんな症状はありませんか?
- 歯がズキズキ痛む
- 冷たいものや甘いものがしみる
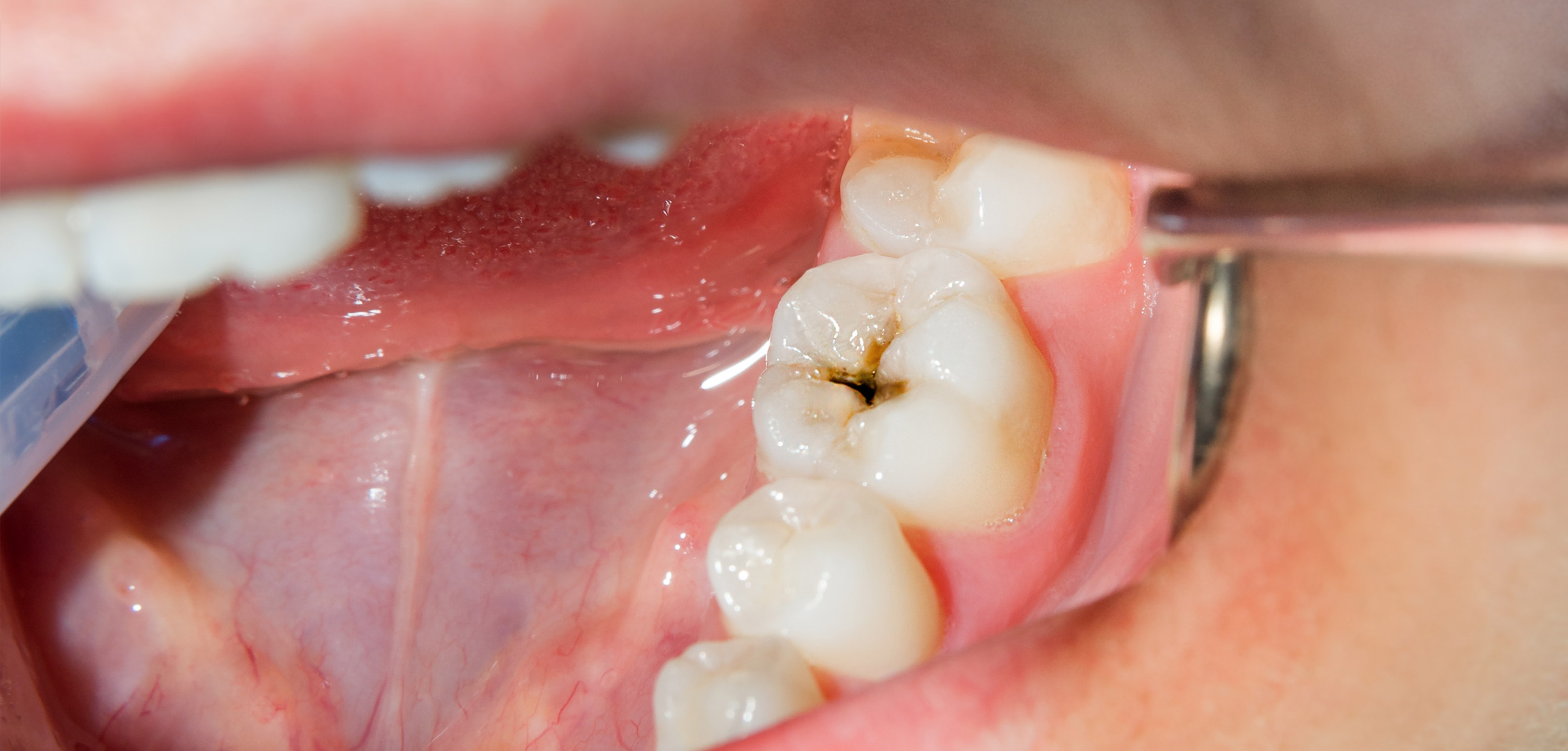
- 歯の色が黒や茶色に変わっている
- 食べ物が歯に挟まりやすい
これらの症状があれば、虫歯が進行している可能性があります。虫歯は自然に治ることはなく、放置すればするほど悪化の一途をたどります。早期治療により、治療期間の短縮と費用の軽減が可能です。
なぜ治療の繰り返しを防ぐことが重要なのか
歯は削れば削るほど弱くなり、寿命が短くなってしまいます。「治しては再発、また治療」という悪循環を避けるため、当院では単に穴を埋めるだけでなく、なぜ虫歯になったのかという根本原因の改善に力を入れています。
原因を取り除かない限り、せっかく治療してもまた同じ場所やほかの歯が虫歯になってしまうからです。
虫歯の進行段階と治療法
-
初期虫歯(CO)
歯の表面が少し溶け始めた段階で、白い斑点のような変化が見られます。
治療法:削る必要はありません。正しいブラッシング指導とフッ素の応用で、歯の修復機能(再石灰化)を促進します。 -
軽度の虫歯(C1)
エナメル質に小さな穴ができ、茶色や黒っぽく見えることがあります。まだ痛みはほとんど感じません。
治療法:最小限の削除ですみます。白い樹脂(コンポジットレジン)を使用し、自然な見た目に修復します。 -
中等度の虫歯(C2)
エナメル質の下の象牙質にまで達した状態。冷たいものや甘いものがしみるようになります。象牙質は柔らかいため、この段階から進行が早くなります。
治療法:虫歯部分を取り除き、詰め物や被せ物で機能と見た目を回復します。材質は患者さまのご希望に応じて選択いただけます。 -
重度の虫歯(C3)
神経(歯髄)まで感染が及んだ状態。何もしなくてもズキズキと激しく痛みます。
治療法:根管治療(神経の処置)が必要です。感染した神経を丁寧に取り除き、根の中を清掃・消毒した後、被せ物で修復します。 -
最重度の虫歯(C4)
歯の形がほとんど残っていない状態。神経が死んでしまい一時的に痛みがなくなりますが、根の先に膿がたまると激痛が起こります。
治療法:可能な限り歯を保存する治療を試みますが、状態によっては抜歯が必要になります。抜歯後はインプラント、ブリッジ、入れ歯などで機能回復を図ります。
虫歯を繰り返さないために
-
お口の環境を整える
唾液の量や質、歯並びなど個人差がある要因を改善します。よく噛んで食事をする、フッ素を活用するなどで歯質強化を図ります。
-
細菌をコントロール
定期的なプロフェッショナルクリーニングと正しいホームケアで、虫歯菌の活動を抑制します。
-
食習慣の見直し
ダラダラ食べや頻繁な間食は要注意。食事のタイミングを決めて、お口の中を中性に戻す時間を作ることが重要です。
当院の虫歯治療の特徴
-
根本原因にアプローチ
単純に穴を埋めるだけでなく、なぜ虫歯になったのかを徹底的に分析し、再発防止のための根本的な改善策をご提案します。
-
なるべく「削らない・抜かない」治療
歯は一度削ってしまうと元には戻りません。当院では可能な限り健康な歯質を残す「ミニマルインターベンション」の考え方で治療を行います。
-
痛みに配慮した治療
表面麻酔から始まり、麻酔液の温度調整、極細針の使用など、様々な工夫で治療中の不快感を軽減します。
-
分かりやすい説明
口腔内カメラやレントゲン画像を使って、現在の状態や治療方針を視覚的にご説明します。疑問点があれば遠慮なくお尋ねください。
治療の進め方
-
1詳しいお話を伺います
現在のお困りごと、これまでの治療経験、ご希望などを丁寧にお聞きします。些細なことでも気になることがあれば、お気軽にお話しください。
-
2精密な検査・診断
デジタルレントゲン撮影(従来の約1/4の被曝量)、口腔内写真撮影などを通じて、目に見えない部分まで詳しく調べます。
-
3治療計画のご提案
検査結果をもとに、患者さまに最適な治療プランを複数ご提案します。メリット・デメリット、期間、費用なども含めて詳しくご説明します。
-
4治療実施
・軽度の虫歯の場合
健康な部分を最大限残しながら、必要最小限の処置を行います。白い詰め物で自然な見た目に仕上げます。・進行した虫歯の場合
根管治療(神経の処置)が必要になることもあります。数回の通院が必要ですが、丁寧に進めて歯を残すよう努めます。 -
5アフターケアとメンテナンス
治療後の正しいケア方法をお教えし、定期的なメンテナンスで再発を防ぎます。歯科衛生士による専門的なクリーニングも行います。
予防が一番大切です
虫歯は「治す」よりも「予防する」ことが重要です。定期的な検診とクリーニングを通じて、虫歯になる前に予防していきましょう。
当院では3〜6ヶ月に一度の定期検診をお勧めしています。早期発見できれば、簡単な処置ですむことがほとんどです。
虫歯でお困りの方、お口の健康が気になる方は、お気軽にご相談ください。
